ブログ
ホワイトニングで自然な白さに!港区で人気の歯科ホワイトニング
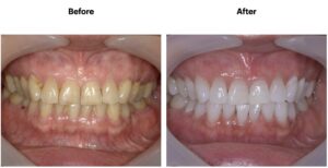
【症例紹介】ホワイトニングで自然な白さに!笑顔が明るく変わった症例
今回は、ゴールド麻布デンタルクリニックでホワイトニング治療を受けられた患者様の症例をご紹介します。
「歯を白くしたい」「笑ったときの印象を良くしたい」というご相談で来院されました。
📸 ホワイトニング Before → After
下の写真は、実際に当院でホワイトニングを行った方の症例です。
薬剤によるダメージを抑えつつ、自然で透明感のある白さに仕上げています。

🦷 施術の内容
今回のケースでは、オフィスホワイトニングを中心に施術を行いました。
ホワイトニング前には、クリーニングで歯面の汚れをしっかり除去しています。
- 使用薬剤:ホワイトニングジェル(オパールエッセンスboost)
- 施術回数:1回(約60分)
- 知覚過敏の発症:なし
🌟 治療後の変化
施術後は、歯のトーンが均一になり、口元全体が明るく見えるようになりました。
自然で健康的な白さを重視しており、歯本来の白さが限界ですので「不自然に白すぎる」仕上がりにはなりません。
※施術後の色調の変化度合いは、個人差がございます。
患者様の声:
「鏡を見るたびに嬉しくなります!清潔感も出てくる上に、気持ちも一気に上がりしました。」
💡 ホワイトニングの効果を長持ちさせるポイント
-
- 定期的なクリーニングでメンテナンス
- 必要に応じてホームホワイトニングを併用
- コーヒー・紅茶・赤ワインなどの色素沈着に注意
🏙 港区でホワイトニングをご検討の方へ
当院では、オフィスホワイトニング・ホームホワイトニング・デュアルホワイトニングの3種類をご用意しております。
「短期間で白くしたい方」「自宅でゆっくり続けたい方」など、それぞれのライフスタイルに合わせてご提案いたします。
📍 ご予約・お問い合わせ
ゴールド麻布デンタルクリニック東京都港区南麻布3−21−17 B City Tower AZABUTOKYO 12階
TEL:03-6432-5845
▶ 当院公式LINEはこちら(LINEから予約も可能)
▶ ご予約はこちら
▶ TikTokでも症例をチェック


