当院の短期集中治療について
短期集中治療は、
こういう方に適しています
「歯がボロボロで、もう相談するのも恥ずかしい…」そんなお気持ちを抱えてご来院される方も、実はとても多いです。
歯医者が苦手で、痛みを我慢しているうちに少し落ち着いて、そのまま時間が経ってしまう…。気づいたら歯が欠けたり、崩れてしまったり。
そうなると、人と話したり、笑ったりすることにもだんだん自信が持てなくなってしまいますよね。
でも、大丈夫です。どんな状態からでも、今できることがあります。
恥ずかしいと思う必要はまったくありません。
私たちは「一歩を踏み出した勇気」を大切に、丁寧にサポートいたします。

「治療が長い」「いつ終わるのかわからない」という不安を感じさせない短期集中治療は、歯科医院に通院する時間を確保することが難しい方のための治療です。
ご希望される方が日本全国からお越しいただいており、さらにアメリカ、ドイツ、インドネシア、中国など海外にお住まいの方の治療実績もございます。
決まっている予定までに治療を終えたい方、歯科医院が苦手なので通院回数を減らしたい方にもおすすめです。
私たちにご相談ください。
- 普段忙しく、
なかなか時間が
取れない方 - 遠方からの来院で、
できるだけ通院回数を
少なくしたい方 - 海外赴任や
海外留学までに
治療を終わらせたい方 - 歯医者が苦手
長年放置していたが
限界がやってきた方 - 治療が必要な歯の
本数が多い方 - むし歯治療を複数
一気に治したい - 歯の神経治療を
一気に治したい
通院回数をより少なくするための治療を実現
歯科治療は、お口を開けるための負担を考慮した場合に1回の治療時間が短く、どうしても通院回数が多くなりがちです。そのことが要因の一つとなり、つい治療から足が遠のくという方もいらっしゃいます。
当院では、患者様のご都合に合う治療を実現するために、短期集中治療を行っております。
1回の治療時間を最低2時間(最長で5時間)と長く設けることで、一気に治療を進めることができ、治療全体にかかる期間を大幅に短縮することができるようになります。
注意①歯の状態、むし歯の大きさなどにより治療内容は変化します。
治療本数を保証するものではありません。
注意②短期集中治療は自費診療(健康保険適応外)となります。
- ダイレクトボンディング
(即日での歯の審美治療) -
歯の欠けや隙間を補うために、白いハイブリッドセラミックの素材を歯に直接塗り重ね、天然歯のような見た目を再現できます。
当院では前歯の欠けや隙間を埋める審美的なダイレクトレジン修復や、歯の表面を薄く削り審美的に見た目を改善するダイレクトベニアにも対応。セラミックによる被せ物や詰め物に比べて削る量が抑えられるので、歯にも負担の少ない治療法です。【ダイレクトボンディングの治療例写真】
@gold_azabu_dental_clinic 【ダイレクトボンディングの治療例写真】
■治療前
■治療後
- 神経治療
-
当院ではラバーダム防湿法を行っています。
治療中の二次的な細菌汚染が起こらないように配慮し、歯の神経治療の予後に配慮します。
(むし歯治療とは、既に歯の中に細菌侵入があるため、完全無菌治療ではないことをご理解ください。)
この方法により、神経治療の回数を大幅に減らすことも可能です。
虫歯の状態や感染状況により、複数回の治療が必要となる場合もございます。静脈内鎮静法での神経治療
- 静脈内鎮静法
-
歯科医院独特の雰囲気が怖い、どうしても緊張してしまう、嘔吐反射が強くて治療が難しいなどこのようなお悩みを解決するために、ゴールド麻布デンタルクリニックでは「静脈内鎮静法」を行なっています。
- 静脈内鎮静法とは?
-
点滴で安定剤を血管に投与し、眠っているようにリラックスした状態で歯科治療を受けることができます。胃や大腸の内視鏡検査などでもよく使われる方法です。全身麻酔とは異なり入院の必要もなく、施術後に少しお休みいただいた後、当日お帰りいただけます。非常に安全性の高い方法ですので、歯科治療中の緊張や嘔吐反射に悩まれている方、長時間の治療が心配、そのほか歯科治療が苦手という方は、当院までご相談ください。
- 歯科技工士の同席により、
より審美性の高い治療へ -
当院では歯科医師・歯科技工士が密に連携し、精度の高い詰め物・被せ物を製作しております。
セラミッククラウン治療の際は技工士が立ち合い、実際の咬み合う歯の状態や他の歯の色とのバランスをトータルで考え、患者様にご納得いただけるものができ上がるまで真心を込めて製作いたしております。■治療前
■治療後
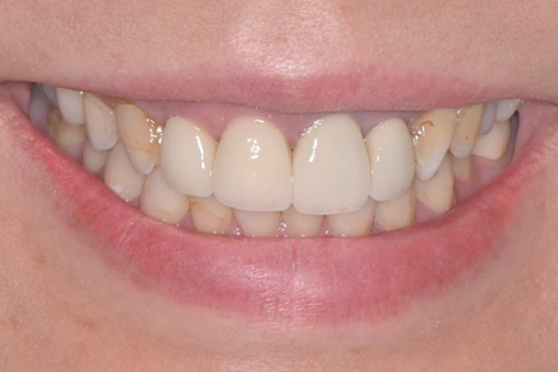
- 短期集中治療による治療例 海外在住 滞在期間 1週間
-
治療本数:11本
治療回数:2回
(審美治療が主訴、歯のホワイトニングも行いました)■治療前(顔貌)
↓ ■治療前(口腔内)
↓ ■治療後(顔貌)
■治療後(口腔内)
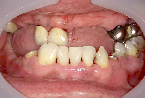
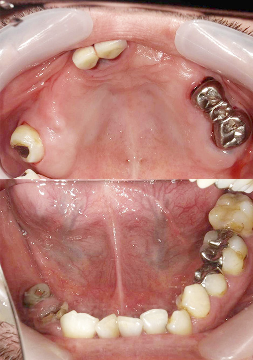
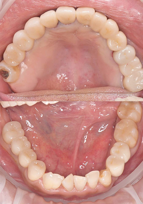
- 短期集中治療による治療例②
-
治療本数:12本
治療回数:3回■治療前(上の歯)
↓ ■治療前(下の歯)
↓ ■治療後(上の歯)
■治療後(下の歯)
- 短期集中治療による治療例③ 遠隔地からの通院
-
治療本数:セラミック13本
治療回数:3回
歯のホワイトニング:治療回数4回/患者様の希望により短期間で一気に白くしたい
総期間:1ヶ月間■治療前 顔貌
↓ ■治療前 口腔内
↓ ■治療後 顔貌
■治療後 口腔内
- 短期集中治療による治療例④
-
海外からの一時帰国
治療本数:6本
治療回数:2回
- 短期集中治療による治療例⑤
-
治療本数:27本
治療期間:1年
歯周外科治療併用・インプラント12本埋入■治療前 正面
↓ ■治療前 かみ合わせ
↓ ■治療後 正面
■治療後 かみ合わせ
- 短期集中治療による治療例⑥
-
治療本数:20本
治療期間:10ヶ月
歯周病治療・歯周外科治療 インプラント治療併用■治療前 正面
↓ ■治療前 かみ合わせ
↓ ■治療後 正面
■治療後 かみ合わせ
治療の流れ
-
短期集中治療の流れ
-
STEP1:治療希望日の選定
短期集中治療は治療時間を十分に確保する必要がございます。
クリニックと患者様双方の時間が確実に確保できる日時で予約日を選定します。 -
STEP2:治療申し込み・
予約金の事前清算当日から治療希望の方は、予約枠を長時間確保(注釈1)するため、予約金を事前に精算いただく必要がございます。
予約金:¥33,000(税込)/銀行振込もしくはクレジットカード
予約金の決済(振込確認/クレジットのオンライン決済)確認をもって、短期集中治療の予約確定となります。ご注意ください。
いただいた予約金は、当日の治療費に充当します。ご安心ください。
※注釈1:検査カウンセリング約1時間+治療約2時間ただし、ご予約1週間前からキャンセル・変更による払い戻しは不可となりますのでご注意ください。
ご予約の変更・キャンセルは予約日からが遡り8日前までに行うようにお願いいたします。 -
STEP3:ご来院
(問診・各種検査・治療計画立案)お見積り(短期集中治療に伴う治療は基本的に自費診療となります。)
-
STEP4:治療即日開始
例えば......
- ・むし歯治療を可能な限りたくさんしたい。
- ・嫌な歯の神経治療を、眠っている間に完結したい。
- ・特定の日までに、銀歯を一気に白くしたい。
注意①歯の状態、むし歯の大きさなどにより治療内容は変化します。
治療本数を保証するものではありません。注意②短期集中治療は自費診療(健康保険適応外)となります。
-
-
通常の歯科治療の流れ
-
STEP1:カウンセリング
問診や各種検査を行い、治療計画の立案とお見積もりのご提案をさせていただきます。
初めて集中治療を受けられる方には、「お試しコース」などもご用意しています。不安を感じるという方も、お気軽にご相談ください。
-
問診
問診票をもとに、患者様のご要望をお聞きいたします。気になっていることはなんでもご相談ください。
-
各種検査
歯科用CTや口腔内診査など、治療に必要な基本検査を通し、患者様の現在の口腔内の状況を把握します。
治療を開始する前に処置が必要な歯周病などがないかを判断します。 -
治療計画の立案
(短期集中治療に伴う治療は基本的に自費診療となります。)治療方法や治療期間、必要な通院回数など、詳しい治療計画をご提案します。患者様と情報を共有いたします。
-
お見積もり
治療に必要となる費用をご提示させていただきます。その場で決める必要はございませんので、ご自宅でゆっくりご検討ください。
当院では、患者様がご不安を抱えていらっしゃる状態で治療を進めることはございません。わからないことは、いつでもご相談ください。
-
-
STEP2:治療開始
(即日もしくは2日目以降)
ご検討のうえ、患者様にご納得いただいたら、治療開始です。治療前にも、再度治療内容のご説明と確認をしてから治療を進めます。
治療時間は、1回につき1時間半~2時間半。歯の状態によりますが、平均して歯の治療は最大8本、インプラントであれば2本前後の埋入ができます。
治療時間が長くなると、お口を開ける負担も大きくなります。その場合は、負担を軽減する「静脈内鎮静法」を併用した治療も可能です。
-
治療費の例
例A:静脈内鎮静法を用いて、歯の神経治療(前歯2本奥歯1本)初日から行った場合
| 短期集中治療 内訳 | 費用(税込) |
|---|---|
| 静脈内鎮静法 (1時間30分) |
¥33,000 |
| 静脈内鎮静法 延長1時間 | ¥22,000 |
| 神経治療/初回 (前歯2本奥歯1本) |
¥99,000 |
| 予約金を 治療費に充当 |
-¥33,000 |
| 合計 | ¥121,000 |
例B:静脈内鎮静法を用いて、虫歯治療を6本行った場合
| 短期集中治療 内訳 | 費用(税込) |
|---|---|
| 静脈内鎮静法 | ¥33,000 |
| 静脈内鎮静法 延長2時間 | ¥44,000 |
| 即日での審美的な むし歯治療 (前歯3本/大臼歯3本) |
¥297,000 |
| 予約金を 治療費に充当 |
-¥33,000 |
| 合計 | ¥341,000 |
例C:静脈内鎮静法を用いて、歯の複数本の抜歯/銀歯をセラミックに交換する場合
| 短期集中治療 内訳 | 費用(税込) |
|---|---|
| 静脈内鎮静法 | ¥33,000 |
| 静脈内鎮静法 延長2時間 | ¥44,000 |
| 歯の抜歯 1本 | ¥55,000 |
| セラミック(白いかぶせ歯)の製作 1本 | ¥132,000 |
| セラミック(白い詰め物)の製作 3本 | ¥88,000×3本=¥264,000 |
| 予約金を治療費に充当 | -¥33,000 |
| 合計 | ¥495,000 |
治療費の例です。
実際の治療内容により費用は異なります。
複数回治療が必要なこともあることをご理解ください。
料金表
|
事前オンライン相談 |
無料 | 初診希望だけれど、どんなクリニックなのか気になる。来院前にお話をしてみたい。どんな理由でもOKです。お気軽にお問い合わせください。 |
|---|---|---|
| 即日での 審美治療 (前歯) |
¥40,000 (税別) |
ダイレクトボンディングと呼ばれる技法で、審美性の高いハイブリッドセラミックにて歯を修復します。 ※むし歯の大きさ(治療範囲)により適応外の場合もございます。ご理解ください。 |
| 即日での 審美治療 (小臼歯/大臼歯) |
¥50,000 (税別) |
ダイレクトボンディングと呼ばれる技法で、審美性の高いハイブリッドセラミックにて歯を修復します。 ※むし歯の大きさ(治療範囲)により適応外の場合もございます。ご理解ください。 |
| 抜髄治療/ 歯の神経治療/ 1本 ※場合により複数回の治療が必要になります |
¥25,000~ ¥40,000 (税別)/ 歯種により 異なります。 ※根充費用は別途必要になります。 |
大きいむし歯の治療で、神経治療を最大限細菌に配慮して行う治療法です。 |
| 感染根管治療/ 根っこの治療 ※場合により複数回の治療が必要になります |
¥25,000~ ¥70,000 (税別)/ 歯種により 異なります |
過去に神経治療を施しているが、再感染を引き起こしている歯の再治療を、細菌による二次感染に最大限配慮して行う治療法です。 |
| 歯の抜歯 | ¥50,000 (税別) |
歯の温存が難しい場合は、選択肢としての抜歯も考えられます。 |
| 静脈内鎮静法 1時間半以内の処置 延長の場合は別途費用必要 |
¥30,000 (税別) |
薬の効果により睡眠状態となり、不快感を軽減した状態で治療します。また、お口を長時間開けている苦痛からも解放されます。 |
| セラミックによるかぶせ歯 (審美クラウン) |
¥130,000~ (税別) |
治療回数が2回以上(歯型採得/装着)かかります。しかし、日程調整を行い最短で仕上げることも可能です。 ご相談ください。 |
| 静脈内鎮静法/延長30毎 | ¥10,000 (税別) |
基本の1時間半よりもさらに長時間の治療確保が必須な場合の費用です。治療内容、治療本数により異なります。 |
| 短期集中治療予約金(必須) |
¥30,000 (税別) |
当日から治療希望の方は、予約枠を長時間確保するため、予約金を事前に精算いただく必要がございます。 予約金は当日の治療費に充当いたします。ご安心ください。 |
他治療費用も、当院の処置に準じます。
短期では終わりませんが、少しお時間をいただけるようであれば以下の症例のような治療も可能です。
審美治療➕ホワイトニング➕インビザライン(マウスピース矯正)


