「切らない治療」や「ボツリヌス製剤治療だけでは治らない症状」も、
口元の専門の歯科医師ならば治療可能です。
ガミースマイル治療の手術に関して
ガミースマイルの状態により、歯周病専門(歯周組織のスペシャリスト)の藤井先生が執刀する場合もございます。
定員制限があります。
ガミースマイル手術を希望の場合は、
オペ予定日より最低1ヶ月までに検査カウンセリングを受けていただくことを推奨しております。
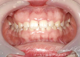
Gummy Smileガミースマイルの治療法
『笑ったときに、歯ぐきが見えておもいっきり笑えない。』
『笑う時、口もとを隠してしまう』
笑顔に自信をもてるように、当院がサポートいたします。
ガミースマイルは笑った時に上顎の歯肉が過剰に見える状態をいいます。
ガミースマイルをしめされる方は、歯肉が見えることを気にされてにっこりと笑う事を控える方が多いようです。
ガミースマイルの治療法は矯正治療が主流とされていますが、近年ではいくつかの方法を組み合わせることで矯正より短い期間で治療を行う方法が編み出されています。
これらの手技はここ数年で信頼できる科学的なデータが増えましたので、安心して当院でも導入しております。
「笑った際に歯肉が見えてうまく笑えない」
そういった方のお力になれると思います。
治療メニュー
・モニター費用には「ボツリヌストキシン製剤注入療法」「術後緩和セット」を含んでいます。
・治療経過の写真をホームページ等に利用させていただく可能性がございます。(個人が特定できる写真は使用しません)
術後のお痛みに不安がある方は、術後緩和セットのご案内も可能ですので、カウンセリング時にお尋ねください。
【腫れへの対処方法】 口唇移動術を受けた後の不快感は、痛みより腫れによって引き起こされることが多いです。 当院では腫れを抑え込む処置を併用しますので、施術後でも過ごしやすいように配慮いたします。 詳細は、カウンセリング時にご説明いたします。
ボツリヌストキシン製剤
注入療法
上唇挙筋と呼ばれる筋肉の近くに天然由来のたんぱく質を打つ治療法で、比較的手軽な治療方法です。
ボツリヌストキシン製剤注入療法は、上唇を上げる筋肉が発達しすぎて唇が大きく上がってしまう場合に有効な治療方法です。ただし、骨格や歯の大きさ、歯ぐきの問題が原因の場合は、あまり効果が得られない可能性があります。
原因の特定には病院での適切な検査が必要です。
お悩みの方は、ガミースマイル治療を得意とする当院までご相談ください。
治療の流れ
-
- STEP 1カウンセリング
- 実際にガミースマイルの症状を拝見しながら、お悩みや費用、治療内容など治療に関する不安や疑問、ご希望をしっかりと伺ったうえで、治療方針を決定していきます。
【治療計画立案動画】
@gold_azabu_dental_clinic
-
- STEP 2治療開始
- 患者様のガミースマイルの症状に合わせて治療を行います。治療方法により異なりますが、2~3回の来院で完了となります。
【歯冠長延長術の治療経過の様子です】
@gold_azabu_dental_clinic
-
- STEP 3術後のチェック
- 手術を行った場合には、抜糸や消毒のためにご来院ください。
さらに1ヶ月後を目安に歯茎が見えない(見えにくい)状態になっているか、確認をします。
問題がないようであれば治療は完了になります。
-
治療について
患者様の現状や治療内容、治療期間などをわかりやすくご説明いたします。
患者様に確認していただき、ご納得いただいてから治療に移ります。 -
治療費用
治療費用はわかりやすい料金体系で明確にご提示いたします。
また、少額からご利用いただける「デンタルローン」も取り扱っておりますので、お気軽にご相談ください。
当院の
ガミースマイル治療
4つの特徴
feature1
経験豊富な歯科医師が対応
診断・治療計画の立案を審美治療を経験豊富に行ってきた院長が立案いたします。
症例により、アメリカの専門医ライセンスを持つ非常勤Drと共同で処置当たるため安心です。
feature2
腫れや痛みを抑えた治療
ガミースマイルの治療は痛みはほとんどありません。
ただしお痛みに不安のあるかたは、静脈内鎮静法を併用して治療が可能です。
術後も、お痛みや腫れなどは約1週間程度でおさまります。
*術後緩和セットもご案内しております。
feature3
処置時間を十分に確保
高い技術と豊富な経験を持った歯科医師が治療を担当いたします。
治療時間も十分に確保することにより、より丁寧な仕上がりとなります。
お口を長時間開けることに不安がある場合は、静脈内鎮静法を併用して処置しますので、痛みも和らぎ更にに安心です。
feature4
傷跡が目立たない
見た目を改善する治療ですので、処置後の傷跡にも配慮します。
痛みの少ない方法や、傷跡の残りづらいアプローチをご提案いたします。
当院について
院内は温かみのある木目を基調とした内装で、リラックスできる空間です。診療室はすべて完全個室となっておりますので、落ち着いて診療を受けていただけます。
担当医師
-
ゴールド麻布デンタルクリニック
院長川淵 元貴Motoki Kawabuchi●経歴
- ・福岡県立 九州歯科大学 卒業
- ・都内医療法人にて臨床研修を行い、東大和病院にて医科領域の全身管理を学ぶ。
- ・その後、都心部にて高度な審美治療、咬合崩壊を伴う高度なインプラント治療、静脈内鎮静法による歯科治療に従事。
- ・2017年12月 ゴールド麻布デンタルクリニック 開設
-
歯周病専門医藤井 貴寛(非常勤)
●経歴
- ・公立 九州歯科大学 卒業
- ・国立 山口大学医学部附属病院 歯科口腔外科
- ・インディアナ大学 歯周病学 大学院
- ・米国歯周病・インプラント外科 専門医
- ・Diplomate American Board of Periodontology
症例
-
治療前
-
治療後
| 年齢 | 22歳 |
|---|---|
| 症状 | 笑った際に歯茎が見える |
| 治療方法 | 歯冠長延長術(前歯6本) |
| 治療費用 | ¥260,000(税抜) ※ボツリヌス、術後緩和セットを含む |
| 治療期間 | 1日目 検査・カウンセリング 2日目 歯冠長延長術 3日目 抜糸(処置日から10日後) |
| 治療による リスク |
術後の腫れや内出血 知覚過敏症状 |
-
治療前
-
治療後
| 年齢 | 28歳 |
|---|---|
| 症状 | 笑った時に前歯の歯茎が全体的に見えてしまうことが嫌だ |
| 治療方法 | 歯冠長延長術 / ボツリヌストキシン製剤併用 |
| 治療費用 | ¥260,000(モニター費用適用)(税抜) ボツリヌス製剤、術後疼痛緩和セットを含む |
| 治療期間 | 処置3日 ※1日目 検査・カウンセリング ※2日目 歯冠長延長術 ※3日目 抜糸(処置日から2週間後) |
| 治療による リスク |
術後の腫れや疼痛、内出血など軟組織の過度の退縮 |
-
治療前
-
治療後
| 年齢 | 24歳 |
|---|---|
| 症状 | 中学生の時から、歯が小さくて、笑う際に思いっきり笑えないことが、気になっていた |
| 治療方法 | 歯冠長延長術 |
| 治療費用 |
¥260,000(モニター費用適用)(税抜) 静脈内鎮静法費用 ¥30,000(税抜) 術後緩和セットを含む |
| 治療期間 |
オペ前クリーニング2回 歯冠長延長術 消毒3回 抜糸 |
| 治療による リスク |
術後の腫れや疼痛、内出血、歯茎の退縮リスク |
-
治療前
-
治療後
| 年齢 | 33歳 |
|---|---|
| 症状 | ガミースマイルを治したい(ゆくゆくは矯正もしたい) |
| 治療方法 | 口唇移動術 |
| 治療費用 | ¥220,000(モニター費用適用)(税抜) ボツリヌス、術後緩和セットを含む |
| 治療期間 | 処置3日 ※1日目 検査・カウンセリング ※2日目 口唇移動術(上唇粘膜切除術) ※3日目 抜糸(処置日から2週間後) |
| 治療による リスク |
術後の腫れや内出血、後戻り |
-
治療前
-
治療後
| 年齢 | 38歳 |
|---|---|
| 症状 | 歯茎が見えやすいのを改善したい |
| 治療方法 | 口唇移動術 |
| 治療費用 | ¥220,000(モニター費用適用)(税抜) 静脈内鎮静法、ボツリヌス、術後緩和セットを含む |
| 治療期間 | 処置3日 ※1日目 検査・カウンセリング ※2日目 口唇移動術(上唇粘膜切除術) ※3日目 抜糸(処置日から2週間後) |
| 治療による リスク |
術後の腫れや内出血、後戻り |
-
治療前
-
治療後
| 年齢 | 28歳 |
|---|---|
| 症状 | 笑った時に歯茎が目立つことがとても気になる |
| 治療方法 | 口唇移動術 |
| 治療費用 | ¥250,000(モニター費用¥220,000 静脈内鎮静法¥30,000)(税抜) ※静脈内鎮静法、ボツリヌス、術後緩和セットを含む |
| 治療期間 | 処置 3日 ※1日目 検査・カウンセリング ※2日目 上唇粘膜切除術 ※3日目 抜糸 以後 定期検診 |
| 治療による リスク |
術後の腫れや内出血 後戻り |
●価格表
・モニター費用には「ボツリヌストキシン製剤注入療法」「術後緩和セット」を含んでいます。
・治療経過の写真をホームページ等に利用させていただく可能性がございます。(個人が特定できる写真は使用しません)
| ¥280,000(税別)/モニター価格¥220,000(税別) | 口唇移動術(LIP) | 上唇の内側にある粘膜を切除して、縫合する治療法です。歯茎の幅を調整することができ、結果としてガミースマイルを目立たなくなります。 |
|---|---|---|
| ¥360,000(税別)/モニター価格¥260,000(税別) | 歯冠長延長術(CLP)/前歯6本対象 | 歯の頭の部分である歯冠がより広範囲に見えるようする外科手術です。歯茎を切除し、骨の形態を整えます。ガミースマイルの軽度から中等度の症例に適応されることが多い術式です。 |
| ¥60,000(税別) | 歯冠長延長術(CLP)/1本単位で希望の場合 | 歯の頭の部分である歯冠がより広範囲に見えるようする外科手術です。歯茎を切除し、骨の形態を整えます。ガミースマイルの軽度から中等度の症例に適応されることが多い術式です。1歯単位で気になる方に推奨しております。 |
| ¥30,000(税別) /モニターの方には無料サービス | 術後緩和セット | 腫れ止めの薬や粘膜の治癒促進を促す薬剤をもちいます。術後の痛みなどに不安がある方へお勧めいたします。 |
| ¥50,000(税別) /モニターの方には無料サービス | ボツリヌストキシン製剤注入療法 | 上唇挙上筋に注入することにより、上唇を持ち上げる力を緩和します。外科オペを併用しないと改善しない場合もございます。 |
| ¥30,000(税別) | 静脈内鎮静法 | ガミースマイルオペ中の不安や、お痛みに配慮し、眠っている間に治療を完結することが可能です。 |
| ご相談下さい(治療本数により変動いたします) | セラミック治療との併用 | 軟組織(歯グキ)だけでなく、硬組織(歯)も一緒に治療しないと改善しないケースもございます。かぶせ物で色や形を一気にキレイに仕上げたい方へ推奨しております。 |
| ガミースマイルオペ費用 + 矯正費用(モニター価格/¥660,000適用可能です) | 矯正治療との併用 | 軟組織(歯グキ)だけでなく、硬組織(歯)も一緒に治療しないと改善しないケースもございます。歯並びが悪いことにより起こるガミースマイルもございます。その場合は、矯正治療を併用することを推奨しております。 |








ガミースマイル治療と併用の場合、モニター費用にてコストを抑えてセラミック治療が可能です。
歯並びが悪いことにより起こるガミースマイルもございます。その場合は、矯正治療を併用することを推奨しております。