もっと自信のある口元に
歯のお悩みは誰にでも一つはあるもの。
審美歯科は患者様のなりたい姿や希望を叶えることができる治療です。
「コンプレックスを解消したい」「自身を持った笑顔になりたい」「より美しい口元になりたい」
そんなお悩みをお持ちの方が、より輝けるようにサポートいたします。
-
- 詰め物・被せ物を白くしたい
歯の大きさや形を整えたい -
メタルフリー素材を使用して白く美しい歯をお作りできます
- 詰め物・被せ物を白くしたい
-
- 定期的にクリーニングを受けていますか
-
歯科医院での定期的検査を推奨しております
-
- 自分の歯を白くしたい
-
黄ばんでしまった歯の本来の白さを取り戻すことができます
-
- 口元のハリやツヤを取り戻したい
疲労がたまりやすい
疲れが口の中に出やすい -
歯科治療中にビタミンを点滴補給できるので、
歯も体調も改善したい方に最適です
- 口元のハリやツヤを取り戻したい
審美歯科
身体にも優しい歯科治療
審美歯科とは、ただ歯を白くするだけでなく、お口の機能を保ちながら、歯本来の美しさと自然な口元を実現する治療です。
金属の代わりに、セラミックなどの素材を用いて白い詰め物や被せ物を作製したり、歯並びや歯の隙間、歯の大きさなどを調整することができます。
お口の中の金属の色や、ご自身の歯の形などでお悩みがありましたら、審美歯科で解決いたします。
お口・身体の健康にも良いメタルフリー治療
日本で保険適用されている金属を使用した歯科治療は、歯科先進国ではマイナーな治療法です。その理由は、金属が溶け出して金属アレルギーを起こすことや、歯肉に着色するなど様々あります。
ゴールド麻布デンタルクリニックでは、口元の美しさはもちろん、将来の健康を見据えてメタルフリーでの治療をおすすめしています。
早さや価格を重視する治療よりも、安心して長くしっかり使える歯を叶える治療をおすすめしていきたいと思っております。
ゴールド麻布デンタルクリニックの審美歯科の特徴
1技工士立ち合いで作製する精密な詰め物・被せ物
詰め物は通常、歯科医院で模型・指示書を作り、それを技工所にいる歯科技工士が作製します。しかし、実際のお口を見ていないため、咬み合う歯の状態や、他の歯の色など、把握できない情報も存在します。
本当に患者様に一番良い補綴物をご提供するために、ゴールド麻布デンタルクリニックでは、技工士が治療に立ち合い、お口の状態を確認し、患者様から装着感や感想を伺います。
精密な審美治療へのこだわり:動画約60秒
2患者様、歯科医師・技工士の双方が納得するまで装着しません
詰め物・被せ物はこれから身体の一部として使い続けていくものだからこそ、妥協は一切いたしません。
ご希望の色の再現性、噛み合わせの状態など、最適な状態になるまで、やり直しさせていただきます。
患者様、歯科医師、技工士が納得できる詰め物・被せ物ができて初めて装着するようにしています。
ご満足いただけるものを真心を込めて作製させていただきます。
色彩などを徹底的にリアルに追及するために、直接お口の中でセラミック専用の染料を用いて色を再現します。または、ハリウッドセレブの使用するセラミックを当院では導入しておりますので、欧米人のような透明感・ツヤのある歯をご提案することが可能です。
3豊富な実績を持った歯科医師が治療いたします
院長の川淵は審美歯科の分野で長年経験を積んできましたので、豊富な知識・技術・経験がございます。
患者様が伝えたいことや、こうしたいという希望、うまく言えないけど…ということも言葉にして、形にすることを得意としています。
安心してお任せください。
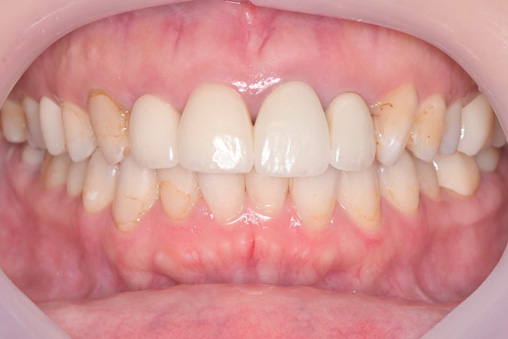
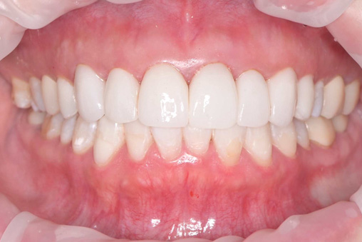
■治療後
審美歯科治療で使用する素材の特徴
●ベニアセラミックス
ジェルネイル(付け爪)のように、歯の表面に薄いセラミックを貼り付けます。
歯を削る量を最小限に抑え、正面からの見た目がとても綺麗になります。
セラミックの透明感を感じることが出来る薄さなので、処置後の違和感もほとんど感じません。
弱点は、強度が劣ります。審美性を優先させるために薄くなり物理的強度がどうしても落ちます。
| ベニアセラミックス | ¥150,000(税別)/1本 |
|---|
●ジルコニアセラミックス
セラミックスの素材の中でも最も高い強度を持っています。
ゴールド麻布デンタルクリニックでは、その中でも最上級のプレミアム、スタンダードからお好みの素材をお選びいただけます。
| プレミアム | ¥170,000(税別) | 前歯を1本のみ単体で治したい場合に推奨いたします。 歯科技工士立会いの下、細かな‘色’ ‘形’を再現いたします。
●神経が死んでしまい歯の色が変化した |
|---|---|---|
| スタンダード | ¥130,000(税別) | 細かな色の指定をすることはできませんが、単純に‘白いキレイな歯にしたい’というご要望には適していると思います。 グラデーションを表現しづらいため、被せ歯感が出てきます。 ただし、欧米諸国では歯の治療を受けられることはステータスの高い人という認識が強く、あえて人工的な白い歯を希望する人も多いことはまた一つの事実です。 メディアに露出される方、モデル活動をされる方などの露出の多い方に良く選ばれています。 |
■症例1 治療後
■症例2 治療後
■症例3 治療後
■症例4 治療後
●e-maxセラミックス
従来のセラミックスのおよそ4倍の硬度を持ち、非常に丈夫な材料です。
色合いを自在に調整できるため、歯の自然な風合いを再現するのに最も優れています。
| インレー | ¥80,000(税別) |
|---|
■治療後
●ダイレクトボンディング
銀の詰め物を白い素材で補います。
樹脂とセラミックのハイブリッド素材です。
e-maxよりもコストを抑えることが出来るので、気軽に治療できます。
弱点は、樹脂のため、経年劣化と着色があります。
一定の期間が経過したら、再治療の可能性が出てきます。
| 前歯 | ¥40,000(税別)/1本 |
|---|---|
| 小臼歯/大臼歯 | ¥50,000(税別)/1本 |
●グラスファイバーコア
クラウンの土台となる歯を補強し、守るためのものをコアと呼びます。
ゴールド麻布デンタルクリニックでは、機能性・審美性を高めるためにグラスファイバーの芯と強化プラスチックでコアを使用しています。
素材自体の耐久性が高いだけでなく、歯にかかる力が少ないため、残っている歯が折れる・割れる可能性を低くできます。
| ¥30,000(税別) | グラスファイバー製の土台です。歯の硬さと近似しており歯根破折予防に効果的です。 一昔前は金属製の土台が用いられていましたが、歯根の腐食や破折の原因となるため、当院では使用いたしません。 |
|---|
■症例1 治療後
歯科衛生士によるクリーニング(専門的ケア)
歯医者さんで定期的に受診していますか?
歯科医師・歯科衛生士が3~4か月毎に歯のクリーニングを行いましょうと言うことには理由があるのです。
成人の8割から9割の方が歯周病に罹っているこの時代。20年30年後に歯を失わないための予防処置が必要なのです。虫歯や歯周病は、ばい菌による感染症です。
その菌は放っておけば、3~4か月ほどで成熟したコロニーを形成し、お口の中の環境悪化を招きます。
・今まで虫歯になったことがないから大丈夫、歯医者にも行ったことがない。と安心している方ほど心配です。
・歯医者が苦手だけどやっとの思いで治療を終わらせた方。綺麗なセラミックの被せものや、インプラント治療を行ったにもかかわらず、歯のクリーニング方法を誤っていませんか?
長持ちさせるために、当院の衛生士の専門ケアを受診しませんか?
| プロケアクリーニング/60分間 | ¥15,000(税別) |
|---|
当院の行うPMTCは、通常のクリーニングでは落としきれないような汚れや着色を、専用の器材・材料を用いて綺麗にしていきます。
もちろんきれいにする際にも、不用意に歯の表面を傷つけることはございません。当院のプロケアクリーニングはむしろ歯の表面をコーティングしながら磨くので、着色防止に効果的です。
また、1回の治療の時間を長くとるために、1度の診療で前歯から奥歯までを隅々まで徹底的に清掃いたします。*個人差がございます
| SRP/片顎 | ¥15,000(税別) |
|---|
RPとは、歯茎の奥に固着した硬い歯石を除去していく処置です。歯周病を進行させていくリスクの高い歯石は、早急に取り除かなければなりません。
とても硬い歯石のため、一回の治療時間で可能な治療本数は限られてきます。2回以上に分けて行うことが望ましいでしょう。
歯石の固着していた歯根の表面はざらざらしており、再沈着防止のために滑沢に仕上げていく必要があります。
PMTCと併用することで、大きな治癒促進効果を得られます。
| 矯正プロケアクリーニング | ¥7,000(税別) |
|---|
※当院で矯正治療中の方が対象です
矯正期間中の、お口の環境維持のためのクリーニングです。
矯正期間中は、口腔内細菌が繁殖しやすい環境となります。
歯並びがよくなっても、歯周病や虫歯が発生・進行してしまっては本末転倒です。
個人の歯並びの状態に合わせて、歯科衛生士がアドバイスいたします。
特殊なパウダーを用いての治療風景です。
歯の表面をコーティングしながら、バイオフィルムや着色汚れなどを除去します。
ホワイトニング
美しく輝く笑顔へ
歯は食べ物の着色やタバコのヤニ、加齢などで黄ばんでいきます。歯磨きをしても、口内クリーニングをしても歯の黄ばみが取れないという方は、ホワイトニングはいかがですか?歯科医院でのホワイトニングは歯科医師または歯科衛生士が行う、安全・安心なものです。専用の薬剤を使用して歯を白くしていくので、歯の寿命も短くする心配がありません。術後も知覚過敏など痛みやしみを感じることないように、丁寧に施術させていただきます。
-
- 女性はこんな方におすすめ
-
♦歯の白さは女性の美しさをより際立たせます。
結婚式や卒業式などの大切なイベントを控えている方
♦接客業や営業など対人のビジネスシーンが多い方
白い歯は肌も白く見せる効果があり、明るい印象や、ワンランクアップした笑顔を演出することができます。
-
- 男性はこんな方におすすめ
-
♦ホワイトニングは決して女性だけの治療ではありません。男性も年々受けられる方は増えており、身だしなみのひとつとして注目されています。
清潔感を保ちたい方
♦接客業や営業など対人のビジネスシーンが多い方
目指したい歯の色の確認や注意事項など、カウンセリングを徹底しております。
ご希望をお聞かせください。
ホワイトニングの種類
●ホームホワイトニング
- 治療概要
- 専用のマウスピースを作製して、薬剤を注入し装着してホワイトニングします。基本的にはご自宅で患者様ご自身に行っていただく方法です。
- 治療時間
- 週1回以上、1回あたり2時間まで
- お勧めの方
- 薬剤をじっくり歯に染み込ませることができるため、長期間白さを持続させたい方にお勧めです。
なかなか歯医者に来られないお忙しい方にも、自宅で簡単にできるためおすすめです。
●オフィスホワイトニング
- 治療概要
- 歯科医院で歯面に薬剤を塗布して、ホワイトニング専用照射機を当ててホワイトニングしていく方法です。
- 治療時間
- 目指したい「歯の色」により個人差があります
- お勧めの方
- 素早く薬剤を歯に浸透させるため、即日で効果が表れます。早く歯を白くさせたい方にお勧めです。
●デュアルホワイトニング
- 治療概要
- ホームホワイトニング+オフィスホワイトニングを行う方法です。
- 治療時間
- オフィスホワイトニング 2~6か月
ホームホワイトニング 3か月~(週1回以上)
- お勧めの方
- ホームホワイトニングの持続性と、オフィスホワイトニングの即効性を得たい方にお勧めです。
短期間で白さ(シェードB1以上)を求めたい方向け
個人差はありますが3か月程度オフィスとホームの併用で目指せます。
ホワイトニング治療の費用
| ホームホワイトニング | ¥30,000(税別) *オフィス、ホームいずれも歯の本数の上限はありません。 |
|---|---|
| オフィスホワイトニング | |
| デュアルホワイトニング | ¥60,000(税別) |
高濃度ビタミンC点滴
口元全体を美しく、健康的にしませんか?
実は、ビタミンCは食物やサプリメントから摂取しても、全身に行きわたる前に酸化してしまうことが多いのです。
身体に良い成分を効率的に取り入れるために、ゴールド麻布デンタルクリニックでは高濃度ビタミンCの点滴を行っています。ビタミンCを酸化させることなく、血液中から全身に行きわたらせることができるため、美肌効果などの効果が見込めます。
初診の方にはG6PD検査を受けていただき、安全に摂取できるかを検査してから治療に入ります。月に1回(12.5g接種)からスタートして、身体の状態を確認しながら接種していきましょう。
- ゴールド麻布デンタルクリニックで使用している高濃度ビタミンC製剤
-
●防腐剤不使用のMylan社製を採用しています
国産のビタミンC製剤は品質維持のために防腐剤が添加されていますが、ゴールド麻布デンタルクリニックではアイルランドのMylan社製の防腐剤不使用の高濃度ビタミンC製剤を採用しています。
アメリカやカナダで実施されているビタミンC点滴療法の臨床試験に唯一採用されている製剤ですので、安全性・性能ともにお墨付きです。
繰り返し摂取するものだからこそ、高い品質のものをご提供しています。
高濃度ビタミンC点滴治療の特徴
●肌への効果
- 美肌効果
- コラーゲンの合成を促進し、ハリのある肌になります。
●歯科の治癒促進効果
- 歯周組織
- コラーゲンの合成、体に良い成分の注入により、歯ぐきの腫れや歯周病治療の回復に良い影響を与えます。
- 外科処置
- 前述のような歯周組織の回復に良いため、インプラントや抜歯など、外科的処置後の傷口の早期回復に効果があります。
点滴治療の流れ
-
- STEP 1
- ビタミンCの血中濃度を測定し、投与量を決めます。
(少ない量から初めて、回数を重ねるごとに投与量を増やしていきます)
-
- STEP 2
- 1時間~2時間かけてビタミンCを点滴投与いたします。
-
- STEP 3
- 投与後はそのままご帰宅いただけます。
点滴の効果を感じていただくためには平均月に2回、3か月以上継続していただくことが望まれます。
ビタミンB群点滴
ビタミンB1、B2をメインとした水溶性ビタミンB群の点滴です。
歯科領域において、口内炎、口角炎、舌炎等の炎症の治療や改善、抜歯後の歯肉治癒を促す、顎関節症による筋肉疲労を和らげる効果を目的としています。
ビタミンB1は体内の乳酸ダイレクトに消費し、即効性があります。新陳代謝もあがり、疲労物質を体外に排出します。
ビタミンB2は主に皮膚や粘膜への健康維持を助ける働きをします。高濃度ビタミンCと併用することで効果が高まります。
点滴時間は30分程度で終わります。
歯のホワイトニングやクリーニングとセットでする方が多いです。
ビタミンB群は体に貯めることができないため、意識して摂取する必要があります。
*糖尿病の方には使用できません。
*ビタミンB2の影響で尿が黄変いたします。
ビタミンカクテル/I.V Bar
I.V barとは・・・必要なビタミン要素等をカスタムし、点滴で直接摂取する手法です。美容先進国のアメリカではスタンダードとなっています。疲労回復や、美容など目的に合わせて調合いたします。高濃度ビタミンC及びビタミンB群を1度に全て摂取する点滴です。
慢性疲労や倦怠感解消に効果が高いビタミン点滴です。
高濃度ビタミンCの活性酸素抑制効果、キレート効果、コラーゲン生成。
ビタミンB群の代謝活性、即効性の疲労回復効果、肌荒れを改善。
上記の効果を大きく期待できます。
I.V Bar(美容点滴)の費用
| 高濃度ビタミンC 25g | ¥18,000(税別) |
|---|---|
| ビタミンB群点滴 | ¥3,500(税別) |
| ビタミンカクテル 高濃度ビタミンC 25g |
¥20,000(税別) |
| G6PD検査※ | ¥5,000(税別) |
※G6PD検査とは…
ごくまれにG6PD欠損症という遺伝性疾患をお持ちの方がいらっしゃいます。
G6PD欠損症の方は、高濃度ビタミンC点滴を行うと重度の溶結性貧血を起こす可能性があります。このような合併症を防ぐために、治療前に必ず皆様に検査を受けていただいています。


