ブログ
治療例|歯の矯正|インビザライン矯正
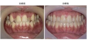
🦷インビザライン(マウスピース矯正)で歯並びを整えた症例紹介
「ワイヤーをつけるのは抵抗がある」「目立たずに歯並びを治したい」──そんな理由で、インビザラインによるマウスピース矯正を希望された患者さまの症例です。
当院では、見た目の美しさだけでなく、噛み合わせや将来的な歯の健康を考慮した総合的な矯正治療を行っています。
今回は、前歯の重なりと歯列の乱れを改善したケースをご紹介します。
📸 治療ビフォーアフター

29歳女性
主訴:ガタガタの歯を治したい
治療期間:28ヶ月(2年4ヶ月)

歯を噛み合わせ方向から見ると前歯2本とその脇に生えている歯のギャップがおおっきいことがわかります。当院ならばマウスピース矯正(インビザライン)での治療が可能です。
写真をご覧いただくと、歯並び全体のバランスが整い、この歯並びらばば笑顔の印象がより自然で明るくなって行きます。
装置が透明なため、治療中も周囲に気づかれにくく、仕事やプライベートに支障なく続けることができました。
🦷 治療のポイント
- 透明で目立たないインビザラインを使用
- 3Dシミュレーションで治療完了後の歯並びを事前に確認
- 痛みが少なく、食事や歯磨き時に取り外し可能
治療後は、噛み合わせの改善により発音や食事のしやすさも向上。
患者さまからは「写真を撮る際に口元を隠さなくなった!」と嬉しく前向きなお声をいただいています。
🏥 当院のマウスピース矯正について
港区南麻布のゴールド麻布デンタルクリニックでは、インビザラインを中心としたマウスピース矯正を数多く手がけています。
治療経験豊富な院長が、口腔内全体をしっかり診断したうえで、見た目も機能も両立した歯並びを目指します。
「歯並びを治したいけど、ワイヤーには抵抗がある」
「仕事柄、目立たない矯正をしたい」
という方は、ぜひ一度ご相談ください。
📍 ご予約・お問い合わせ
ゴールド麻布デンタルクリニック東京都港区南麻布3−21−17 B City Tower AZABUTOKYO 12階
TEL:03-6432-5845
▶ 当院公式LINEはこちら(LINEから予約も可能)
▶ ご予約はこちら
▶ TikTokでも症例をチェック


