- 歯科医院独特の雰囲気が怖い
- どうしても緊張してしまう
- 嘔吐反射が強くて治療が難しい
- 長時間治療を受けられるか心配だ
- 治療を早く終わらせてしまいたい
このようなお悩みを解決するためにゴールド麻布デンタルクリニックでは「静脈内鎮静法」を行っています。
程度の差はありますが、歯科治療は誰もが少しは怖さを感じていて、お悩みとして持っているものです。
痛みを抑えて治療が受けられるのであれば、当院はできるだけ尊重したいと考えています。
痛みを我慢しながら行う歯科治療は、もう昔の話です。リラックスした状態で心地よく治療を受けてみませんか?
静脈内鎮静法について
静脈内鎮静法とは?
静脈内鎮静法は「点滴で行う麻酔」です。血管に安定剤を点滴し、眠っているような状態で歯科治療を進めていく方法です。
胃・大腸の内視鏡検査などでもよく使われており、非常に安全性の高い方法ですのでご安心ください。
鎮静中は夜就寝しているときと同じような状態で、自分自身で普段と同じように呼吸ができ、呼びかけに対しても反応することができます。
全身麻酔と異なり、入院の必要はありません。施術後に少しお休みいただくだけで効果は薄れますので、施術当日にお帰りいただけます。
※院長より眠っている間に終わる歯科治療を
希望される患者様へメッセージです
【オンライン無料相談】
先ずは優しい院長とお話をしてみて、クリニックの雰囲気を知っていただけたらと思います。
静脈内鎮静法に向いている方
- ●歯科治療の恐怖心が強い方
- ●歯科治療時に嘔吐反射がある、緊張で口が開けられないなどのお悩みをお持ちの方
- ●インプラントや、複数の歯を一度に治療する短期集中治療を受けたい方
※睡眠治療説明動画:動画約30秒
他の麻酔法・鎮静法との違い
| 全身麻酔の特徴 | 静脈内鎮静法の特徴 | 笑気吸入鎮静法の特徴 |
|---|---|---|
|
|
|
静脈内鎮静法の費用について
静脈内鎮静法は下記の麻酔料金に加えて、別途治療費がかかります。
| 1時間30分 | ¥30,000(税別) |
|---|---|
| 以後30分毎 | ¥10,000(税別) |
| 初診時に以下に該当する方 ①処置開始希望の方 ②静脈内鎮静法 ③短期集中治療 |
ご予約の際に申込金¥33,000(必須) ご予約の際に銀行振込、もしくはクレジット決済をお願いしております。 長時間のご予約を確保する為に必要な申込金です。ご理解ください。 |
※ 診療内容により必要時間が異なるため、治療内容に適した時間をご提案させていただきます。
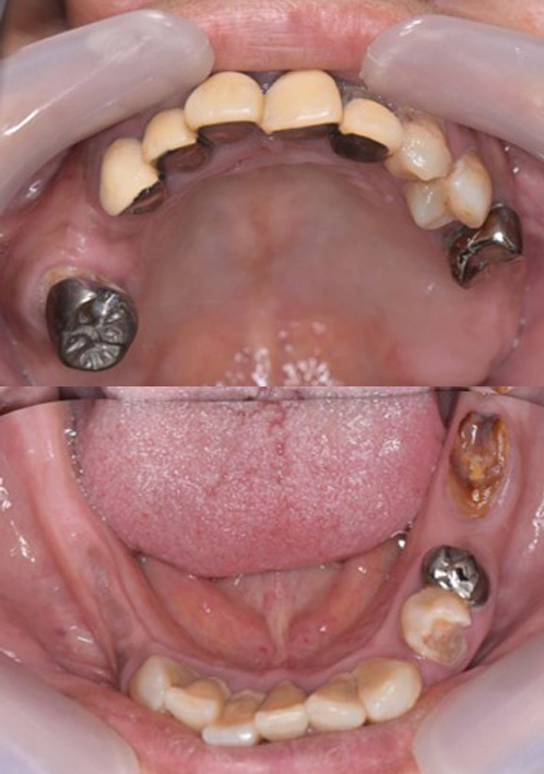
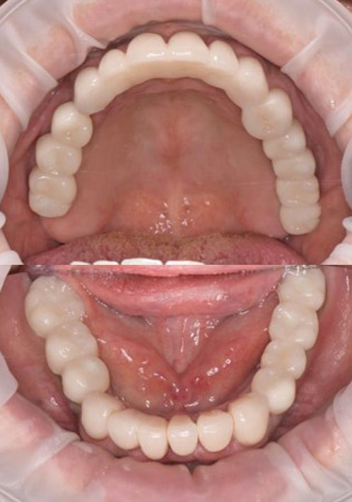
- 短期集中治療による治療例
-
治療本数:12本
治療回数:3回■治療前(上の歯)
↓ ■治療前(下の歯)
↓ ■治療後(上の歯)
■治療後(下の歯)
- 短期集中治療による治療例②
-
治療本数:セラミック13本
治療回数:3回
歯のホワイトニング:治療回数4回/患者様の希望により短期間で一気に白くしたい
総期間:1ヶ月間■治療前 顔貌
↓ ■治療前 口腔内
↓ ■治療後 顔貌
■治療後 口腔内
- 短期集中治療による治療例③
-
海外からの一時帰国
治療本数:6本
治療回数:2回
- 短期集中治療による治療例④
-
治療本数:27本
治療期間:1年
歯周外科治療併用・インプラント12本埋入■治療前 正面
↓ ■治療前 かみ合わせ
↓ ■治療後 正面
■治療後 かみ合わせ
静脈内鎮静法の流れ
静脈内鎮静法を利用した際の治療の流れをご案内します。
-
1問診・ご説明
患者様の体調やお口の状況を伺い、本日行う治療内容をご説明させていただきます。
治療内容に同意・ご納得いただけましたら治療を開始します。 -
2点滴・麻酔の開始
腕もしくは手の甲などの静脈に点滴をします。 点滴の際の静脈注射に対する痛みを完全になくすことはできないのですが、極細の注射針を使用して、痛みを軽減しています。
点滴の準備ができましたら、患者様のバイタルを生体モニターで見ながら鎮静剤を投与していきます。 -
3歯ぐきの麻酔
麻酔の効果が出て、睡眠状態になったことを確認してから、歯ぐきに局所麻酔を行います。
麻酔中のため痛みは感じませんので、ご安心ください。
【眠っている状態での歯ぐき麻酔の様子】
-
4治療開始
呼吸状態や脈拍、血圧などをモニタリングしながら治療を進めていきます。
-
5治療終了・休憩
治療が終了しましたら、鎮静剤の投与をストップします。必要に応じて麻酔の作用を減少させる薬の投与を行います。
患者様の意識がはっきりするまでお休みいただければ治療完了となります。*
(*個人差がありますが5分~60分程度です) -
6治療内容のご説明
本日行った治療内容と次回行う予定の治療・メンテナンスの内容をご説明し、当日の治療はすべて完了となります。
でも、ご来院の前にオンラインでクリニックの雰囲気を知りたい方へ。
【オンラインで無料相談】


